Trigeminal Schwannoma in a Patient with Left-sided Facial Numbness
DOI:
https://doi.org/10.51200/bjms.v11i2.612Keywords:
Cerebellopontine Angle Tumor, Trigeminal Schwannoma, SchwannomaAbstract
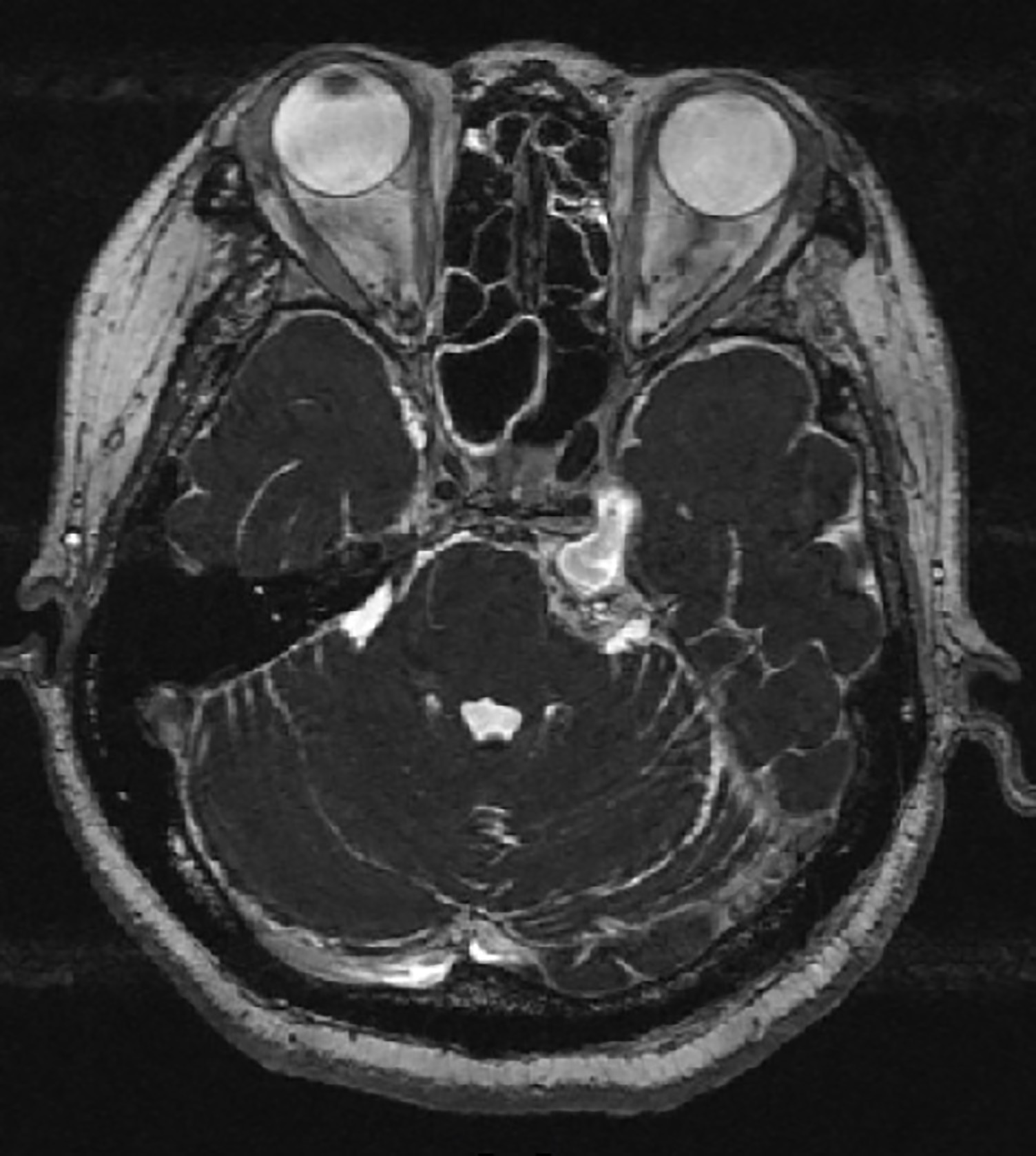
We reported a case of an elderly lady who presented with ipsilateral facial numbness and instability for year duration. She was finally diagnosed as having trigeminal schwannoma after seeking multiple medical consultations with her doctors. This case report highlighted a rare cause of cerebellopontine angle tumour that should not be missed given the availability of effective treatment.References
Day JD, Fukushima T: The surgical management of trigeminal neuromas.Neurosurgery 1998;42:233-241.
Fukaya R, Yoshida K. Trigeminal Schwannomas: Experience with 57 Cases and a Review of the Literature. Neurosurgical Review. 2010; 34.2:159–71.
Goel A, Muzumdar D, Raman C. Trigeminal neuroma: analysis of surgical experience with 73 cases. Neurosurgery. 2003; 52:783–790.
Renowden S. Imaging of the cerebello-pontine angle. Pract Neurol 2014;14:e2.
Bone I, Hadley D M. Syndromes of the Orbital Fissure, Cavernous Sinus, Cerebellopontine Angle and Skull Base. J Neurol Neurosurg Psychiatry 2005;76(Suppl III):iii29–iii38.
Alam S, Khair A et.al. The surgical management of trigeminal schwannomas. The ORION Medical Journal 2009 May;32(2):659-662.
Downloads
Additional Files
Published
How to Cite
Issue
Section
License
All articles are published under the Creative Commons Attribution-NonCommercial (CC BY-NC 4.0) license, enabling users to read, download, copy, distribute, and adapt the material for non-commercial purposes, provided proper credit is given to the original authors and the source. This model supports transparency, accessibility, and the global exchange of medical knowledge.


1.png)

